





子供の矯正はできる年齢が
限られているのをご存知ですか?
矯正治療の正しい知識がないことで、あとで後悔したくない。そう思う親御様のために、特別な情報をお伝えします。



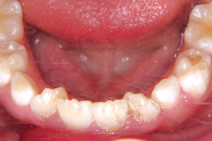
6歳から8歳で、
下の前歯の生え変わりで
こうなっていれば要注意です。



今現在こうした歯並びになっていると、
将来の歯の並び方は
ガタガタになります。
今すぐのご相談をお勧めします!



問題を抱えたかみ合わせは、身体的にも精神的にもさまざまな悪影響を及ぼしやすくなります。
お子様の歯並びやかみ合わせで、心配なことがあれば、まずはお気軽にご相談ください。

風邪をひかないように手洗いやうがいをしますよね
虫歯にならないように歯磨きをしていますよね
将来ガタガタな歯並びにならないようにするのが小児の予防矯正です。
ガタガタな歯並びになってからするのが大人の矯正です。
お口の悪い癖や習慣を治す『機能矯正』と
歯並びを改善する『小児マウスピース矯正』の両方でしっかり改善します。
6~8歳頃、大人の歯が生えてきた前歯の歯並びを整えるのは『小児マウスピース矯正』が得意です。
一方で、歯並びだけ良くしてもお口の悪い癖や習慣が残っていると、またガタガタの歯並びに後戻りしてしまいます。
ですので、歯並びを整える『小児マウスピース矯正』と悪い癖や習慣を治す『機能矯正』の両方が必要です。

お口がポカンと開いていたり、サ行タ行の発音が不明瞭であったり、爪を噛む癖などがあったりすると歯並びがどんどん悪くなることが研究ではっきりとわかっています。
こういった悪い癖や習慣をできるだけ早い段階で治していくことで、将来の歯並びが悪くなるのを防ぐことができます。
八重歯や凸凹やガタガタ、八重歯の原因は歯を並べる顎の大きさが十分でないことにあります。上の歯が並ぶ土台となる上顎は9歳までに大きさがほぼ決まってしまいます。顎の大きさが十分でないとその後生えてくる大人の歯が並びきらなくてガタガタになります。ですので、9歳までに予防矯正で顎を広げて大人の歯が並ぶスペースを作る必要があります。
6歳~8歳頃、前歯は大人の歯に生え変わってきます。前歯の凸凹やガタガタを綺麗に整えます。
矯正を開始する年齢によって使用する装置や治療期間が異なります。
歯の萌出状態は前後2年程度まで個人差があるので、どの装置を使用しいつから始めるかは矯正検査を受けていただいてから決まります。

機能と見た目の両方の改善できる上下一体のマウスピース型の矯正装置です。
マウスピース型矯正装置では唯一日本人が開発した純日本製の装置です。
使う時間が就寝時と昼間の1時間のみなので、日常生活にほとんど支障を感じることなくお子様でも続けやすいのがメリットです。
簡単なトレーニングを併用することで、舌やお口周りの筋肉のバランスを整え、その結果歯並びも改善します。

普段からお口が半開きになっている状態のことです。
一見すると愛苦しい仕草にしか見えないのですが、実はお口ぽかんは顎や筋肉の発育に悪影響を及ぼします。
なぜなら、お口ぽかんの状態は口腔周囲筋が緩んでしまっているだけでなく、口で呼吸していることも意味しているからです。その状態が習慣化すると、顎の骨の成長が妨げられ、顎が小さくなってしまい、その小さい顎に歯が並びきれなくなって歯並びがガタガタになるのです。
ですので、お口ポカンはできるだけ早いうちに改善しておかなければなりません。

上下別々の完全オーダーメイドのマウスピース型矯正装置です。
1日22時間の装着が必要ですが、違和感がほとんどないので問題なく使用できます。
およそ6か月程度で前歯の歯並びは改善します。
インビザラインは、米国のアライン・テクノロジー社の3次元画像化技術や光造形などのデジタル技術を融合させた、新しい歯の矯正装置です。これまでに世界で1200万人を超える患者様が治療を受けられています。(2022年8月現在)
もちろん、お子さんにもにオススメな矯正治療システムです。

インビザラインの矯正治療に欠かせないのが、歯並びを3Dで撮影できる口腔内カメラ「iTero」です。
あの気持ち悪い型取りをしなくて済むだけでなく、お口の中をより正確に再現することで治療精度がいっそう高まります。
子供たちに不快な思いさせずに矯正治療を受けてもらうことができるようになりました。
MFTという簡単なお口のトレーニングを行います。
定期的に来院したいただき、クリニックで行いますがご自宅で毎日継続していくことが重要になってきます。
『プレオルソ』は機能的矯正装置なのでプレオルソがちゃんと使えていれば、MFTがうまくできなくても機能矯正は問題なく進みます。

早ければ早いほどいいです。
遅くても小学校低学年、前歯が大人の歯に生え変わってきた頃には予防矯正を開始した方が効果的です。
特に受け口(反対咬合)の場合は4歳頃から始めた方がよいと当院では考えています。小学生の頃までそのまま様子を見ていると、大人の歯が生えてくる7歳頃ではかなり高い確率でそのまま永久歯反対咬合になってしまいます。これを治すのは大変で、場合によっては手術で下顎を切って引っ込めることになります。

正しい口腔機能を獲得できれば成長のおかげでより素敵なお顔つきになります。
お口ポカンや受け口、出っ歯の場合では特に改善がみられます。

お口の悪い癖や習慣が改善されて大人の歯が生えるスペースが確保できれば予防矯正だけで終了となる可能性が高いです。

子供の矯正は大人の矯正に比べて痛みが少なく、子供への負担が少ない。

大人になってからの矯正では半分以上のケースで抜歯が必要になります。
予防矯正をすれば2期矯正(大人の矯正)が必要となったとしても抜歯をしない簡単な矯正で済みます。
しらとり歯科・矯正歯科が

100名を超える方が当院で矯正治療を開始しています(2025年実績)
●マウスピース矯正のメリット
違和感が少ない・痛みが少ない・目立たない・歯磨きがしやすい・食事に制限がない
「もう少し様子を見ましょう」と言われたことはありませんか?
反対咬合・過蓋咬合(ディープバイト)・叢生(ガタガタやデコボコ)はできるだけ早く矯正を始めた方がいいケースがあります。
当院では院長の白鳥が矯正治療を専門として責任をもって治療します。
外部から来るアルバイトの矯正歯科医師はいません。
予防矯正が終わって中学生以降に2期治療が必要になったとしても当院で対応できます。
矯正だけの歯科医院と違い、虫歯になってしまったとしても当院で治療できます。
もちろん虫歯にならないようにフッ素の予防も毎月行います。
かみ合わせの良い
お口の健康からカラダの健康にもつながります
はじめまして、『しらとり歯科・矯正歯科』院長の白鳥智也です。
私たち「しらとり歯科・矯正歯科」が目標にしていることは、「虫歯の無いキレイな永久歯の歯並びと嚙み合わせの獲得」です。そのためには虫歯にならないようにフッ素で予防する以外に、できるだけ早い時期からお口の悪い癖や習慣を無くし、お子さんの年齢に応じた口腔機能の正常な発達が欠かせません。
具体的には、お口がポカンと開いていたり、サ行タ行の発音が不明瞭であったり、指しゃぶりや爪を噛む癖などがあったりすると歯並びがどんどん悪くなることが研究ではっきりとわかっています。
「子供の虫歯ゼロ」「綺麗な歯並びと嚙み合わせ」「正しい口腔機能の獲得」
具体的にはこの3つを達成できるような歯科医院でありたいと日々努力しています。
親であれば、子供の歯を守りたい、歯は大切にしてほしいと当然思っていることでしょう。
『しらとり歯科・矯正歯科』は子供の矯正治療(予防矯正)と虫歯予防が専門の歯科医院ですが、「生えかわりが遅い」「虫歯になっていないか心配」
「指しゃぶりが直らない」『歯ぎしりをしている』など
お子さんの歯に関することでしたら、どんなことでもお気軽にご相談ください。
| 2009年5月 | しらとり歯科・矯正歯科を開院 開院当初より『大人の歯並び矯正』を専門に矯正歯科治療に従事 |
|---|---|
| 2017年 | マウスピース矯正「インビザライン」導入 |
| 2022年 | インビザラインプラチナドクター認定 |
| 2025年 | インビザラインプラチナエリートドクター認定 CGKインターナショナルスクール校医に就任 |

お子さまの歯並び嚙み合わせについてのお悩みやご希望をヒアリングします。
お子さまに適した矯正治療を検討するために必要な精密検査を行います。レントゲンや歯型の採取などの検査結果とヒアリングをもとに、院長の白鳥が診断を行い、治療計画を作製します。なお、検査・診断費用として5,500円(税込)が必要です。

検査とは別日を設定して、検査・診断結果をお伝えするとともに、お子さまごとに作製した治療計画について丁寧に説明します。わかりやすい説明を心掛けていますが、疑問点などは遠慮なくお尋ねください。この日は、保護者のみの来院でも問題ありません。

ご案内した治療計画に同意いただければ矯正治療スタートです。むし歯などがある場合は並行して対応いたします。

基本的に月に1回来院いただき、装置の調整や治療の進ちょく確認を行います。むし歯がないかなども併せて確認し、歯のクリーニングやフッ素塗布も行います。

矯正治療の終了後は、歯並びの後戻りを防ぐためにリテーナーと呼ばれるマウスピース型の保定装置の装着をお願いすることがあります。その後も、定期的にお口の状態チェックを行いながら、予防矯正治療終了後の場合は、Ⅱ期治療(大人の矯正)が必要かどうかなども検討していきます。
トータルフィーシステム
~表示価格から追加費用いただきません~


| LINE相談 |
0円(無料相談)
|
|---|---|
| 矯正検査 |
5,000円(税込み5,500円)
|
| デンタルモニタリング |
40,000円(税込み44,000円)
|
| 保定装置(上下マウスピース型リテーナー) |
1装置30,000円
(税込み33,000円) |
自由診療を受けられた場合、治療費のお支払いに現金のほか、銀行振り込み、クレジットカード、デンタルローンを使用していただくこともできます。お気軽に受付までお申し付けください。
矯正治療をご希望される方の多くはデンタルローンを利用しております。
君津市、木更津市、富津市を中心に矯正治療を行っている当院は、新生銀行グループのアプラスと連携していますので、安心してデンタルローンを組むことが可能です。また、お申し込みの手続きはWEBで完結と、非常に手軽に利用できることも特徴です。さらにデンタルローンご利用金額はすべて医療費控除の対象となります。(医療費控除の金額には上限があります)
矯正治療の治療費は、医療費控除の対象となります。
医療費控除は、1月1日〜12月31日までに支払った医療費が10万円もしくは総所得金額の5%の金額(総所得金額等が200万円未満の場合)を上回った場合、一部所得税が還付され、次年度の住民税が減免されるという制度です。
控除を受けるには、確定申告が必要となりますが、高額な自由診療を受けた場合は、大きな金額の還付と住民税の減免というメリットを受けることができます。
CASES
準備中です